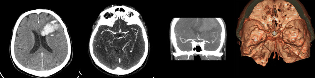
Angiografia CT
Aplicabilitate:
- evaluarea structurilor vasculare;
- evaluarea afecțiunilor neurovasculare;
- caracterizarea anevrismelor, stenozelor și anomaliilor vasculare;
- analiza vasculaturii capului și a gâtului, incluzând arcul aortic și emergențele arterelor cervicale;
- planificarea tratamentului intervențional.exclude cauzele care mimează AVC;
- indică prezența ocluziei, gradul și localizarea acesteia;
- precizează extensia trombului (poate fi cuantificată prin măsurarea lungimii acestuia în arborele arterial. Extinderea intracranială a trombului prezice evoluția clinică, mărimea finală a infarctului și transformarea hemoragică)
- evidențiază circulația colaterală și starea parenchimului cerebral;
- exclude disecția arterială cranio-cervicală;
- evidențiază și evaluează stenozele vasculare;
- poate face diferențierea între un tromb ocluziv total, subocluziv sau stenoză aterosclerotică – patologie trombo-stenotică.
Pentru evaluarea pacienților cu AVC acut, angiografia CT este o metodă rapidă și acurată, informațiile relevante în ceea ce privește atât calibrul și permeabilitatea vasculară, cât și perfuzia parenchimatoasă fiind obținute la prima trecere a substanței de contrast aplicată în bolus.
Evidențierea imagistică completă a arborelui arterial de la arcul aortic până la vertex în evaluarea atât a ocluziilor acute, cât si a stenozelor cronice poate fi realizată în timpul încărcării maxime cu contrast (peak).

Angiografia CT în afecțiunile arteriale extracraniene:
Angiografia CT și RM sunt minim invazive (se evită complicațiile inerente cateterizării invazive), sunt mai rapide și mai ieftine decât angiografia RX tradițională.




