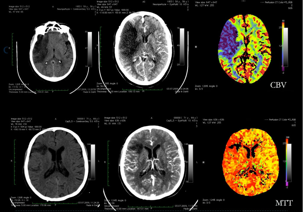
Perfuzie CT
Perfuzia IRM şi CT (PWI) aduc indicii asupra parenchimului cerebral și asupra funcţiei cerebrale prin măsurarea unor parametri hemodinamici precum: volumul sangvin cerebral, fluxul sangvin cerebral şi timpul mediu de tranzit.
În imagistica de perfuzie se obţin o serie de imagini ale teritoriilor arterelor cerebrale medii după administrarea i.v. a substanţei de contrast, iar modificările de atenuare (priza de contrast) a parenchimului cerebral se măsoară în timp.
Rolul PWI în accidentele vasculare cerebrale (AVC):
Perfuzia CT permite diferenţierea ariilor de infarctizare reală (nucleul ischemic) de ariile ischemice care sunt supuse riscului de infarctizare în lipsa terapiei trombolitice (zona de penumbră).
- arată tipul, vârsta și extinderea procesului ischemic în AVC;
- în identificarea nucleului infarctului – regiuni cu CBV (volum sanguin cerebral) extrem de scăzut;
- în identificarea pacienților care prezintă zone de “țesut cu risc de infarctizare” în absența recanalizării, care pot fi recuperate cu tratament trombolitic (la debutul unui AVC acut, prezenţa unei zone de penumbră ischemică operațională reprezintă o indicaţie că terapia trombolitică poate fi benefică);
- în triajul pacienților pentru celelalte terapii disponibile, precum “hipertensiune indusă”, hipotermia sau “mechanical clot retrieval” etc.;
- în excluderea condițiilor care mimează stroke-ul;
- în monitorizarea sub terapie.

În evaluarea imagistică a tumorilor cerebrale, PWI:
- face diagnosticul diferenţial rest/recidivă tumorală versus necroză postiradiere, când secvenţele convenţionale IRM sunt echivoce;
- evaluează neovascularizaţia intratumorală, care se corelează cu gradul tumoral (diferenţiere glioame “low grade” de glioame “high grade”);
- evaluează noninvaziv tumorile: prin combinarea mai multor parametri de difuzie şi perfuzie (ADCmin, rCBV max) se pot diferenţia tumori maligne intracerebrale gadolinofile;
PWI este utilă în planificarea terapiei, pentru optimizarea managementului pacientului (chimioterapie, radioterapie, chirurgie).
PWI evaluează precoce eficienţa agenţilor terapeutici, în special a celor care suprimă creşterea vaselor de sânge intratumorale.


